社会医療法人 原三信病院
救急外来24時間受付
092-291-3434

急性硬膜外血種

関連するタグ

概要

頭部に外力が加わることで、頭蓋骨とその内側にある脳をおおう硬い膜(硬膜)の間に出血し、形成された血腫によって脳が圧迫される状態です。多くは頭蓋骨の線状骨折や陥没骨折にともなって発生します。

原因・症状

受傷の程度が強ければ受傷時から意識障害が生じますが、最初は意識がしっかりしているにもかかわらず、数十わから数時間の時間経過で意識障害が出現し進行することもあります。そのほか、頭痛、嘔吐、不穏、けいれんなどが生じることもあります。

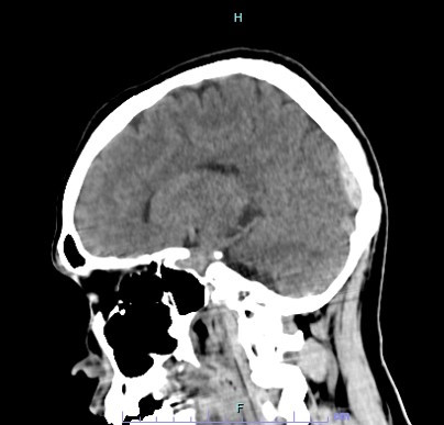
検査

■CT検査:頭部CT検査で評価します。頭蓋骨骨折の状況、ならびに硬膜外血腫の場所・血腫量、脳への圧排程度を評価することができます。数十わから数時間の経過で急激に症状が悪化することもあり、その都度CTによる評価を行い、手術が必要か検討する必要があります。

治療

血腫量が軽度で、血腫の増大傾向がなければ手術をせずに様子をみます。しかし血腫が急激に増大して脳への圧排が顕著になることがありますので、その際は緊急で手術を行います。時期を逸すれば意識障害をはじめとして、圧迫された脳の局在によっての後遺症を生じることもあります。手術は、開頭して硬膜外血腫を除去し、硬膜や頭蓋骨の出血部位を止血します。